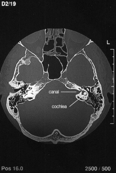
CT Scan

The CT scan shows a view similar to the MRI scan but shows up the bony structures rather than the soft tissue. The tumour sits in the canal, which is enlarged by its' presence. The cochlea shows up well in this scan. As with the MRI scan, the scale marks are at 1cm intervals. The translabyrinthine approach to removal of the tumour involves drilling through the bone behind the ear, to access the canal, destroying the cochlea in the process